팝업레이어 알림

de6fd85fafa6e246d9dc5585d9443ce6_1689663664_5154.png
25a08057aa5058f7daef9abf23ac742f_1689926055_2564.png

7055a9003e2a69d26d3ea19d18e04886_1766968774_1297.png
 

더조은치과의
세심하고 꼼꼼협진 진료

보철과/보존과/교정과, 각 분과별 의료진의 협진 시스템!
진료에서 예방까지 정확한 진단과 치료 계획 수립으로
안전한 진료와 더 나은 치료 결과로 보답하겠습니다.

더조은치과
7가지 특별함

더조은치과의 오랜 경험과 노하우를 바탕으로
만족스러운 결과를 약속드립니다.

더조은치과
디지털 진료 시스템

보다 정확하고 안전한 진단과 치료를 위한
디지털 진료시스템 구축으로 편안한 진료를 제공합니다.

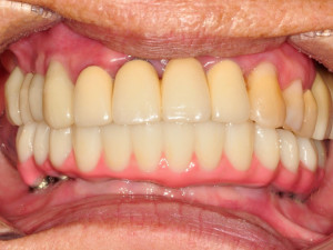
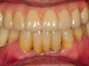
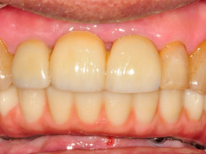
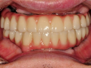
디지털 풀아치 임플란트
최소식립 전체 임플란트

"불편했던 틀니 대신 디지털 무치악 솔루션"

디지털 풀아치 임플란트는
무치악 전체 임플란트 환자를 위한
새로운 디지털 임플란트 시술법입니다.

더조은치과
자연치아살리기

자연치아보존! 미세현미경치료!

자연치아를 최대한 살려 오래 쓸 수 있도록 하는 것이 중요합니다!
정확한 치료계획과 관리를 통한 자연치아 살리고 더 유지하기!

더조은치과의원은 미세현미경을 이용한 시술로 신경치료의 성공률은 높이는 등
최대한 자연치아를 보존하고자 노력하고 있습니다.

More

더조은치과 디지털 프로세스

디지털 진단 PROCESS 01
진료 PROCESS 02
처방 PROCESS 03
치료 PROCESS 04
사후관리 PROCESS 05

CLINIC INFORMATION

더조은치과는
정확하고 안전한 진료를 꿈꾸는
디지털 진료에 집중 합니다.

정밀한 진단

전문적인 디지털 진단 장비를 통한
정밀한 진단을 약속

정직한 치료

종합적이고 전문적인 디지털시스템 및
전문 수술실을 통해 정직한 치료 약속

정확한 관리

정기적인 검사 및 SMS 메시지,
E-MAIL 발송 등을 통해 치아를 관리

더조은치과의 특별함

꼼꼼하게 진단하고, 더 정확하게 치료하며,
내 치아처럼 오래오래 편안하게 사용할 수 있도록!

분과별
협진시스템

전문의 협진을 통해
깊이 있는 진료

평생
주치의제도

평생 건강한
치아를 위하여

임플란트
사후관리

임플란트는 오랫동안
사용하는 것도 중요

평생관리
치아교정시스템

교정 후 치아를 위한
평생 관리

구강관리
프로그램

치과치료에서 가장
중요한 것은 관리

정확한
디지털 의료장비

정확한 진료!
안전한 치료!

안전한
멸균시스템

안심하고 진료
받을 수 있도록

TV
영상으로 전하는 치아 건강정보

다양한 전후사진과 후기를 통해
더조은치과의
특별함을 확인
해보세요.

전후사진

BEFORE

로그인하시면
치료 후 사진을
보실 수 있습니다.

로그인

AFTER

BEFORE

로그인하시면
치료 후 사진을
보실 수 있습니다.

로그인

AFTER

BEFORE

로그인하시면
치료 후 사진을
보실 수 있습니다.

로그인

AFTER

BEFORE

로그인하시면
치료 후 사진을
보실 수 있습니다.

로그인

AFTER

치료후기

자연치아 살리기

자연치아를 지키기 위한 특별한 보존치료

EVENT

FAQ

T
H
E
J
O
E
U
N
D
E
N
T
A
L
월·수·금 AM 09 : 00 ~ PM 06 : 00
화   ·   목 AM 09 : 00 ~ PM 08 : 00 [ 야간진료 ]
토  요  일 AM 09 : 00 ~ PM 02 : 00
점심시간 PM 01 : 00 ~ PM 02 : 00
토요일은 점심시간 없이 진료 | 일요일 · 공휴일 휴진
충청남도 천안시 서북구 불당25로 200,
하나로마트 2층(불당동)